Вывих локтевого сустава у детей представляет собой смещение лучевой и локтевой кости. Согласно статистике, опубликованной в специализированных источниках, к наиболее распространенным травмам верхних конечностей относят именно данную патологию. Это объясняется тем, что руки выполняют разные двигательные функции, в результате чего они регулярно подвергаются большой физической нагрузке. Полученные травмы, наряду с регулярными разгибательными движениями, оказывают негативное влияние на общее состояние локтевых суставов.
Далее будет рассказано о вывихе локтевого сустава у ребенка, рассмотрены причины этой патологии, ее симптомы. Также выясним, каким образом осуществляется лечение и восстановление после такой травмы.
Причины вывихов
Основной причиной вывиха локтевого сустава у детей является получение закрытой травмы, при которой осуществляется падение на вытянутую руку. Подобное повреждение получают и при случайном вытягивании рук, зачастую с такой проблемой могут сталкиваться маленькие дети, которые не достигли трехлетнего возраста.
При ударе в район локтевого сустава также можно получить вывих, который будет относиться к открытой травме. Довольно большое количество вывихов в районе локтевого сустава происходят на фоне дорожно-транспортных происшествий, во время которых наблюдается травмирование пассажиров транспортного средства или пешеходов.
Вывихи локтевого сустава у детей могут быть вызваны непрямой травмой или резкими движениями, которые нарушают нормальные функции суставов. Вывихи вследствие прямой травмы фиксируются крайне редко. Также такая патология может возникнуть на фоне некоторых заболеваний, в числе которых и остеомиелит наряду с туберкулезом. Вывих у ребенка может являться врожденным или приобретенным. Врожденная патология, как правило, возникает по причине аномального формирования двигательной системы еще в ходе развития эмбриона.
Теперь перейдем к симптомам, которые наблюдаются у детей при получении такой травмы.
Как отличить растяжение от вывиха и перелома?
Отличить вывих от обычного растяжения можно при помощи некоторых признаков. При вывихе малыш не может двигать суставом и жалуется на сильную боль. При вывихе руки, поврежденная рука может удлиняться или наоборот укорачиваться. В случае появления таких симптомов, необходимо наложить фиксирующую повязку и незамедлительно показать малыша доктору. При этом, поврежденный сустав должен быть полностью обездвижен.
В случае, если вовремя не оказать помощь малышу, будет нарастать отек, что только осложняет дальнейшее лечение. Ведь вправить поврежденную кость будет уже трудно. Родители должны помнить, что заниматься самолечением и самостоятельно вправлять кости при вывихах категорически запрещено – это только навредит ребенку. Без специального исследования – рентгенологического снимка – отличить перелом от вывиха очень сложно.
При переломе происходит нарушение целостности костной ткани в результате резкого удара или механической нагрузки, которая будет превосходить естественную эластичность кости. К счастью, переломы у детей встречаются очень редко, что можно объяснить особенностями анатомического строения костей ребенка. Чаще всего встречаются закрытые переломы пальцев рук, ключицы, ноги и руки. При переломах пальцев появляется выраженный отек кисти, и при движении малыш будет жаловаться на боль.
При переломе ключицы происходит полный паралич движения той руки, с которой была повреждена кость. Любая, даже не значительная, попытка пошевелить рукой вызывает у ребенка острую боль. При переломах рук или ног, происходит потеря их работоспособности, и малыши жалуются на сильные боли.
Симптоматика патологии
При вывихах локтевого сустава у маленьких пациентов могут наблюдаться следующие симптомы:
- Возникновение отечности в месте повреждения.
- Быстрое повышение температуры.
- Присутствие сильных болевых ощущений в области локтя, усиливающихся даже при незначительном движении. Симптомы вывиха локтевого сустава руки у ребенка довольно неприятны.
- Возникновение онемения поврежденной верхней конечности наряду с потерей ее чувствительности.
- Полное отсутствие пульса в нижнем районе руки.
- Появление сильного жара и озноба.
- Наличие визуально просматривающейся деформации локтевого сустава.
- Развитие паралича пальцев или кисти руки.
Часто диагностируется вывих локтевого сустава у детей до 3 лет. Малыши могут дополнительно столкнуться с серьезными осложнениями, на фоне которых нередко происходит разрыв капсулы либо наблюдается травма плечевой артерии. В подобных случаях требуется проведение хирургической операции, которая позволит со временем восстановить общую подвижность наряду с функциональностью поврежденной конечности.
Поэтому симптомы вывиха локтевого сустава у детей не должны остаться незамеченными. В первые же часы после травмы необходимо сразу обращаться к врачу.
Последствия
Вывих этого сочленения опасен тем, что здесь проходят артерии, снабжающие конечность необходимыми питательными компонентами, и нервные пучки, ответственные за чувствительность и проводимость импульсов. Если лечение вывиха локтевого сустава будет проведено ненадлежащим образом, пациент может столкнуться со следующими неприятными последствиями.
Вывих со смещением. В этом случае восстановление займет несколько больше времени. Сустав становится нестабильным, и велика вероятность повторения ситуации. Страдает и связочный аппарат, прочность которого значительно уменьшается.
Контрактура сочленения. В этом случае пациент сталкивается со стойким ограничением подвижности, а это совершенно другой уровень жизненной активности. У одних пациентов контрактуры связаны с тем, что их рука полностью не разгибается, у других нарушается чувствительность кожных покровов. Все объясняется близким расположением нервов и сосудов, которые страдают от вывиха локтя.
Увеличение срока реабилитации. Застарелая травма всегда требует большего времени для восстановления, чем та, что случилась только что. Так, при свежей травме достаточно 4-дневного ношения шины, тогда как для застарелой эти сроки доходят до месяца.
Основная терапия – вправление вывиха. Эта процедура проводится только в медицинском учреждении и только специалистом. Вправляют кость под местной или общей анестезией, чтобы не допустить развития болевого шока. Если помимо смещения кости имеются другие нарушения, то пациенту необходимо провести операцию, во время которой хирург не только восстановит анатомию костей, но и соединит поврежденные сосуды, нервные окончания, связки и мышечные ткани.
Читать также: Растяжение связок локтевого сустава
По окончании операции вправляемую руку фиксируют гипсовой повязкой. Спустя 10 дней после основного лечения, независимо от того, была человеку проведена операция или нет, начинает период реабилитации. Так, 10 суток отводится на то, чтобы человек пребывал в полном покое. За это время естественные процессы регенерации восстановят целостность костной ткани и связок. В этот период допускается проводить слабые движения пальцами, чтобы не допустить остановки кровообращения и последующего некроза тканей.
Во время реабилитации человеку показаны следующие терапевтические методы:
Самыми популярными физиотерапевтическими методами для восстановления локтя после вывиха являются ультразвуковое лечение, магнито- и лазеротерапия. Лечебная физическая культура – это упражнения, позволяющие укрепить связочный аппарат и улучшить регенеративные процессы в месте повреждения. Что касается массажа, то он должен проводиться не в зоне локтя, где было повреждение, а выше и ниже этой области, то есть кистей и предплечья.
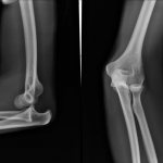
Проведение диагностики при заболевании
В случае появления болевых ощущений в районе локтя у ребенка родители должны обратиться в медицинское учреждение, в котором малышу проведут диагностику и окажут первую помощь. Диагностику вывиха у ребенка осуществляют путем пальпации поврежденной области. После этого маленького пациента отправляют на рентгенографию. Благодаря использованию аппаратного обследования определяют степень, а кроме того, локализацию травмы сустава, то есть осуществляют уточнение диагноза. Таким образом, лечение вывиха назначают только после того, как предварительная диагностика подтвердит тщательное обследование.
Диагностика подвывиха
Когда есть явная клиника подвывиха шейного позвонка, постановка диагноза не затруднительна.
Но бывают неспецифические симптомы, причиной которых также может оказаться подвывих: частое беспокойство ребёнка, нарушение сна, снижение аппетита, срыгивания, для старших детей это головные боли, боли в области шеи, головокружение.
Для диагностики используют рентгенографию шейного отдела позвоночника в прямой и боковой проекции, при необходимости в косых проекциях, а также компьютерную томографию области шеи, которая точно опишет повреждения.
На основании жалоб, осмотра и результатов дополнительных методов исследования врач травматолог поставит верный диагноз и назначит лечение.
Методы исследований
Для этого используются следующие методики диагностики:
- Проведение рентгенографии.
- Выполнение ультразвукового исследования.
- Проведение артериограммы и электромиографии.
- Выполнение пульсометрии.
Такую категорию пациентов доктор может дополнительно направить и на обследование к неврологу. Этим специалистом определяется степень подвижности поврежденной руки.
Первая помощь
При подозрении на вывих локтевого сустава у детей до 3 лет, впрочем, как и у ребят более старшего возраста, нельзя ни в коем случае самостоятельно пытаться его вправить. Желательно попробовать зафиксировать малышу поврежденную руку с помощью шины или любого подручного средства (при такой травме верхняя конечность обязательно должна находиться в подвешенном состоянии). Любые движения нужно совершать с предельной осторожностью, так как существует большой риск повреждения нервов, которые расположены в районе локтевого сустава.
Для снятия боли пострадавшему необходимо дать обезболивающий препарат. Повреждения кожи, возникшие в месте вывиха, обрабатывают ребенку зеленкой. Далее вызывают скорую помощь или лучше всего сразу самостоятельно доставить пострадавшего в ближайший пункт травматологии. Сделать это следует не позже трех часов после получения ребенком травмы. Ребенка с вывихом верхней конечности требуется перевозить сидя.
Первая помощь ребенку при растяжении связок.
При своевременно оказанной первой помощи можно сдержать развитие тяжелых последствий и существенно облегчить последующее лечение. Именно по этим причинам родители должны знать меры первой помощи. После травмы ребенка необходимо посадить или положить – обеспечить неподвижность и покой травмированной ножке или ручке. Сустав также необходимо обездвижить – для этого можно наложить тугую повязку на область травмированного сустава, в области голеностопного сустава накладывается повязка в виде «восьмерки».
При третьей степени растяжения, когда у ребенка регистрируется аномальная подвижность сустава, необходимо наложение шины из подручных средств. В качестве шины можно использовать дощечки, фанеру, даже прочные линейки. Расположить шину необходимо с двух сторон, а саму повязку необходимо наложить так, чтобы сустав был неподвижен. В таком случае малыш почувствует облегчение, боль уйдет. Для еще большего облегчения состояния ребенка необходимо приложить холодное к месту повреждения на пару часов. Нельзя прикладывать непосредственно холодное к коже, грелка со льдом должна быть предварительно завернута в полотенце. В случае, если у ребенка формируется отек, рост которого заметен, необходимо придать ребенку горизонтальное положение, а поврежденную конечность положить так, чтобы она была выше головы.
Препаратами выбора могут служить мази с противовоспалительным компонентом. Использование таких современных методов лечения позволяет быстро и эффективно снять боль, позволяет быстрее восстановиться. При легкой и умеренной степени повреждения связок признаки растяжения исчезают в течение 5 – 10 дней, а вот трудоспособность восстанавливается спустя примерно неделю.
Лечение вывиха локтевого сустава у детей
Вывих у ребенка является травмой, которую в обязательном порядке должен лечить только доктор. Специалист назначает конструктивную терапию вывиха и выполняет ряд мероприятий для полного устранения патологии. Терапия вывиха локтя у детей осуществляется методом вправления сустава в целях его возвращения в стандартное анатомическое положение.
Медицинские манипуляции могут проводиться под местным либо же под общим обезболиванием, все напрямую зависит от возраста малыша и от степени тяжести вывиха. Вправление вывиха локтевого сустава у детей осуществляют непосредственно после того, как поврежденная конечность будет полностью обездвижена. Резкое движение при медицинской манипуляции неприемлемо, так как таковое может привести к серьезным осложнениям.
О том, что поврежденный сустав встал на свое место, свидетельствует появление характерного звука, то есть некоего щелчка. Также терапию вывиха осуществляют путем массажа, а кроме того, с помощью комплекса лечебной гимнастики. Об использовании дополнительных процедур лечения выносится решение исключительно доктором. Патологические вывихи также могут требовать оперативного вмешательства в целях восстановления подвижности суставов.
В ситуациях, когда вывих является следствием патологии, поначалу проводят ее терапию. Для восстановления функций сустава детям может требоваться некоторое время. Рекомендуют на это время уменьшить физические нагрузки и увеличивать их со временем постепенно.
Лечение у ребенка в 3 года вывиха локтевого сустава врожденного типа осуществляют другими методами. Терапию нужно назначать ребенку в возрасте до двух лет, в противном случае ему может понадобиться хирургическая операция наряду с постоянным ношением медицинских шин.
Лечение
Лечение подвывиха локтя производится только под наблюдением врача, поэтому важно аккуратно зафиксировать руку ребенка во избежание большего травмирования. Фиксацию можно произвести при помощи ткани, а к суставу приложить холод. Консервативная терапия заключается в проведении вправления сустава: доктор осторожно сгибает предплечье под прямым углом и делает вращательные движения кистью.
После того, как сустав удается поставить на место, боль, как правило, утихает и ребенок успокаивается. Обычно весь объем движений в локте восстанавливается довольно быстро, и дополнительных мер принимать не требуется. Однако в травматологии нередки случаи неоднократного вывиха. В этом случае производится фиксация сустава до полного его восстановления.
Реабилитация и восстановление
Всеми без исключения пациентами, у которых диагностированы вывихи суставов локтя, должна обязательно быть пройдена реабилитация, целью которой является восстановление двигательных функций поврежденного сустава. Как правило, детям, получившим вывих, проводят следующие физиотерапевтические мероприятия:
- Проведение ультразвуковой профилактики.
- Выполнение массажа.
- Проведение лазеротерапии и магнитной терапии.
Большую пользу детям с такой травмой приносят занятия физкультурой. Благодаря таким занятиям у пациентов восстанавливается функциональность и работоспособность поврежденной конечности. Комплекс упражнений маленькие пациенты должны выполнять каждый день, осуществляя до четырех подходов. Занятия лечебной физкультурой проводят в течение двух недель, после чего разрешается переходить к водным процедурам. Специалистами рекомендуется посещение бассейна с пресной или соленой водой. Через пару-тройку месяцев после получения травмы локтя дети могут начинать заниматься спортом. При этом суставу локтя физические нагрузки давать следует дозированно.
Осложнения
Осложнения после привычного вывиха локтевого сустава у ребенка могут развиваться самостоятельно, а также в результате лечения. К числу осложнений данной патологии относят следующие: заболевание артрозом, то есть атрофией суставной сумки, неоартрозом — образованием ложного сустава, и коксартрозом, являющимся снижением суставной подвижности, которое может наступать в пубертатный период из-за гормонального сбоя в организме ребенка.
После терапии вывихов по причине нарушения кровообращения или вследствие резкого движения в суставе могут происходить дистрофические изменения. На фоне хирургического вмешательства у детей могут случаться большие кровопотери. Также не исключено развитие гнойных воспалительных процессов, паралича, шокового состояния и тому подобное. Правда, вышеперечисленные осложнения у детей развиваются крайне редко.
Симптомы и признаки
Факторы, способствующие подвывиху:
- Силовое воздействие на плечо;
- Падение;
- Повышенная подвижность суставов;
- Патология суставной впадины;
- Неоднократные растяжения связок.
Хроническая нагрузка на плечо также является фактором риска. Нередко такой фактор сопровождает спортсменов и людей, занимающихся непрофессиональным теннисом, волейболом или плаванием. Конечно, риск получить травму выше у людей, имеющих особенности строения плечевого сустава. По типу механизма, действующего на плечо в момент травмы, подвывихи классифицируются на:
- Передние – выдвижение головки кости вперед;
- Задние – смещение головки назад. Сопровождается отрывом суставной губы;
- Нижние – суставная головка смещена вниз.
При одном типе смещения подвывих будет называться одноплоскостным. Обычно такие подвывихи происходят из-за разрыва хрящевой губы или капсулы сустава. Если имеет место многоплоскостная нестабильность, то ее причиной считается растяжение связок, сухожилий и синовальной оболочки.
Симптомы подвывиха напрямую зависят от механизма, его вызывающего. При резком силовом воздействии из-за разрыва тканей и связок наблюдаются сильные боли в плечевом отделе. Если же подвывих приобретает хроническую форму, то и симптомы становятся приглушенными, а иногда и вовсе не проявляются. Также симптомами подвывиха являются:
- Изменение формы плеча;
- Ощущение «мурашек» или онемение поврежденной конечности;
- Неестественное положение руки;
- Движения в плече ограничены.
В сложных случаях к основным симптомам добавляются специфические состояния:
- Чересчур сильное смещение головки плеча при движении;
- Повышенная усталость и мышечное перенапряжение;
- Дисплазия.
Стоит уделить особенное внимание подвывихам плеча у детей. К сожалению, такая травма встречается довольно часто и в основном диагностируется у малышей 12-36 месяцев. Из-за слабости суставной капсулы и малого количества окружающих сустав связок, при падении ребенка на вытянутую руку или тянущем воздействии в 50% происходит подвывих. Поэтому родители в этот период должны быть предельно внимательны и осторожны. По мере взросления сустав все больше укрепляется и риск травмы снижается.
Профилактика вывихов
В целях профилактики вывихов этого участка верхней конечности детям необходимо:
- Соблюдать осторожность во время передвижения, в особенности в зимнее время года.
- Все дети должны обязательно заниматься спортом.
- Дети вне зависимости от возраста должны употреблять в пищу требуемое количество минералов, кальция, витаминов и прочих полезных веществ.
- В случае появления болевого синдрома в районе локтевого сустава родители должны незамедлительно привести ребенка в медицинское учреждение или вызвать скорую на дом.
